...


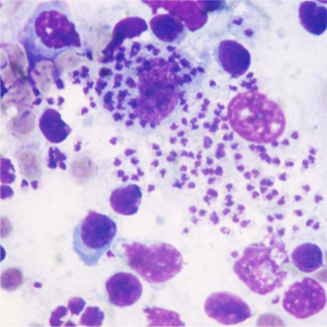
I parassiti

 

Nome comune

Leishmaniosi

Nome scientifico

Leishmania Infantum

Disturbi associati

Leishmaniosi

Link Wikipedia

https://it.wikipedia.org/wiki/Leishmaniosi