...


I parassiti

 

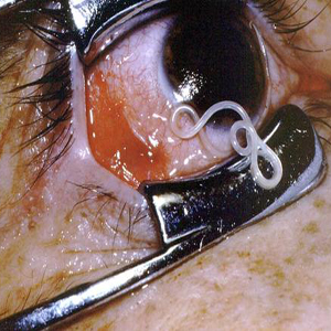
Nome comune

Filaria oculare

Nome scientifico

Famiglia delle Filariidae

Disturbi associati

Filariasi

Link Wikipedia

https://it.wikipedia.org/wiki/Filariasi